
cependant a écrit
Cela dit même si elles ne ressortiraient pas avec les technologies de ATP, on pourrait tenter une analyses Sintes
HPLC c'est clair que c'est pas possible, SINTES je sais pas , en tout cas je suis dubitatif, le plus simple amha c'est un Spectro IR ( analyse forme sèche) comme beaucoup de caarud ont...
Hors ligne

Hors ligne

meumeuh a écrit
cependant a écrit
Cela dit même si elles ne ressortiraient pas avec les technologies de ATP, on pourrait tenter une analyses Sintes
HPLC c'est clair que c'est pas possible, SINTES je sais pas , en tout cas je suis dubitatif, le plus simple amha c'est un Spectro IR ( analyse forme sèche) comme beaucoup de caarud ont...
Yo, même si ces billes inertes et pourtant terriblement dangereuses pour le système respiratoire peuvent échapper à l'examen chimique, un simple examen visuel avec un microscope faible grossissement donnes des infos sur une potentielle coupe ou autres saloperies telles que champignons ou autres acariens laissant des déjections toxiques sur notre plante préférée.
Un simple examen visuel par un technicien formé suffit pour déceler pas mal de choses pas forcément faciles à mettre en évidence autrement.
Dernière modification par Mister No (03 juin 2024 à 20:13)
Hors ligne

Hors ligne

Dernière modification par Mister No (04 juin 2024 à 17:28)
Hors ligne

Meumeuh à 100% raison, l'histoire des billes de verre est une légende urbaine véhiculée par un de nos amis forumer
Nous sommes au moins 3 sur ce forum à avoir témoigné avant ce topic.
J'en ai eu en main il y a 15 ans probablement. En ile de France, une seule fois.
Je connais quelqu'un qui a fait un pneumothorax en Bretagne à la même époque et à cause des billes de verre.
C'est rare mais distribué à assez grande échelle, pas longtemps certainement.
Une pareille daube ne peut stagner géographiquement.
Mon dealer a râlé auprès de de son fournisseur qui ne lui en a plus proposé.
Rareté des billes de verre ne signifie pas légende urbaine.
Il existe certainement d'autres coupes, rares sans parler des coupes actives moins rares ces derniers temps.
Ce qui est rare, ce sont les tests sur le cannabis.
Un simple test visuel avec loupe grossissante apporte parfois des infos capitales.
Si vous devez fumer cette merde, utilisez un filtre acétate.
Dernière modification par Mister No (05 juin 2024 à 18:10)
Hors ligne

Salut ! C'est toute la difficulté d'analyser le Cannabis. On va pouvoir détecter les Cannabinoïdes de synthèse, on va avoir plein d'infos passionnantes sur la répartition des Cannabinoïdes naturels, et pouvoir les relier avec les effets obtenus. Mais du point de vue des voies respiratoires, il y aura toujours une large part du produit qui n'est pas analysable, et pour laquelle il restera impossible de déterminer si c'est de la simple matière végétale, ou bien des coupes plus délétères, des parasites, des champignons, ou encore des métaux lourds. Seul un abandon de la prohibition pourrait permettre de donner cette garantie, en mettant en place des contrôles rigoureux comme pour n'importe quel produit de consommation.
On peut se demander si la pulvérisation de ses "billes de verres" sur la beuh ne pulvérise pas également un nuage de poussière avec des particules fines comme dans la laine de verre. Pas rassurant...
Un des potes qui s'est fait arnaqué avec moi avait réussi à se débarrasser d'une grosse partie des billes en rinçant sa beuh à l'eau. Ca peut compléter le filtre acétate pour limiter les risques en fumant ce truc.
Perso, j'ai pas pu, une fois que j'ai compris ce que je fumais, ça me faisais trop psychoter : mes doutes sur la nocivité me gâchaient tout mon plaisir. Je voulais m'en débarrasser, mais mon pote qui la rinçait a insisté pour me la reprendre. Le troisième pote victime de cette daube a fumé son herbe sans problème, et en se moquant de nous
Le mieux, c'est encore de savoir la reconnaître, pour ne jamais se faire refourguer cette merde.
Dans mon souvenir, soit tu croques un petit bout herbe, soit tu roules un joint en effritant à la main et en faisant exprès de t'en mettre plein les doigts, puis tu lèches tes doigts : si il y a des "billes de verres", tu vas les sentir qui crissent contre tes dents, c'est immanquable, et ça ne part pas facilement en avalant ou en attendant quelques minutes.
Le risque avec cette technique, c'est de bouffer des coupes actives, si il y en a
Mais ça peut être fait discrètement, ça évite de sortir sa loupe chez le vendeur, car ça n'est pas bien accepté partout d'être suspicieux comme ça...
Amicalement.
Hors ligne

Mister No a écrit
Je rebondis :
Meumeuh à 100% raison, l'histoire des billes de verre est une légende urbaine véhiculée par un de nos amis forumer
Nous sommes au moins 3 sur ce forum à avoir témoigné avant ce topic.
Moi j'ai jamais parlé de de légende urbaine, je disais que cela devait être des trichomes
Et pr en revenir aux analyses,je dis juste que de mon point de vue le plus simple est de voir avec un Spectro Infrarouge qui peut détecter tout un tas de matières non organiques.
J'ai d'ailleurs envoyé un message à un collègue qui fait des analyses en milieu festif et dans un carrud avec un S-IR pour savoir ce qu'il en pense.
Hors ligne

Hors ligne
Hors ligne
Si les corps étrangers sont bien des billes de verre/billes de silice, je ne pourrai malheureusement pas faire grand-chose avec la HPLC. Au vu du grinder très rayé, je pense qu’il pourrait être intéressant d’envoyer cela à SINTES, ils auront probablement un moyen de vérifier la nature des corps étrangers.
Je vais contacter la coordinatrice nationale du dispositif, pour voir ce qu’il est possible de faire, et je reviendrai vers vous dès que possible.
Dans le cas où un envoi à SINTES serait recommandé, la meilleure solution serait de passer par l’analyse à distance, puis que j’envoie l’échantillon au laboratoire adapté dès réception. Cela pourrait conduire à une potentielle alerte par la suite, donc dans ce cas il serait fortement recommandé de remplir le questionnaire SINTES au maximum (s’il y a des effets particuliers dans la cas où le produit aurait tout de même été consommé, et les détails sur l’aspect par le consommateur – je pourrai envoyer le modèle du questionnaire pour que le consommateur puisse donner un maximum d’informations).
Hors ligne
Lamiche a écrit
Je me suis fais avoir, vous en pensez quoi? C'est la première fois que ça m'arrive, je m'en suis rendu compte parceque c'était croustillant et que ça m'a poncé le grinder.
Bonjour,
le labo les Wadz (qui fait nos analyses de cannabis) à trouver un autre labo qui pourrait analyser ses fameuses bille de verre ! C'est long mais ca vaut le coup !
Voici son message :
L’un des laboratoires de SINTES pourra proposer une analyse compatible avec ces corps étrangers supposés.
Vous pouvez donc effectuer l’analyse à distance de ce produit comme habituellement, et dès sa réception je l’enverrai au labo.
Il serait également très important que j’aie quelques informations à propos du produit pour le questionnaire :
- Produit collecté :
o date de collecte
o quantité achetée ou reçue et son coût
o appellation du produit vendu
o mode d’approvisionnement (revendeur habituel/occasionnel, internet…)
o provenance et diffusion (d’où vient le produit, groupe particulier d’usagers de ce produit identifié ? disponibilité dans la région)
- Informations sur l’usager et sa consommation :
o Sexe & âge
o Fréquence de conso (1ère conso, -d’1 fois par mois, + d’1 fois par mois, + de 10 fois par mois environ)
- Si le produit a été consommé :
o Mode de consommation
o Quantité consommée
o Produits associés
o Contexte de conso
o Effets ressentis inattendus ou indésirables (date, durée, prise en charge médicale et/ou hospitalisation, description des effets)
o Consommation par d’autres personnes (nombre de personnes, lien avec l’usager, contexte, symptômes ?)
- Tout autre détail que voudrait rapporter l’usager (en plus du grinder rayé par exemple)
La technique d’analyse qui sera utilisée étant plus compliquée à mettre en œuvre (screening en GCMS puis potentielle microscopie électronique à balayage), le délai d’obtention des résultats sera probablement long (délai estimé de 3 mois).
Hors ligne

La technique d’analyse qui sera utilisée étant plus compliquée à mettre en œuvre (screening en GCMS puis potentielle microscopie électronique à balayage), le délai d’obtention des résultats sera probablement long (délai estimé de 3 mois)
Le cannabis, c'est du vivant, l'analyse du vivant passe avant tout par le visuel, ici une loupe ou un vrai zoom macro suffisent.
D'ailleurs, il faut modifier le protocole de prélèvement pour effectuer les tests visuels sur une assez grande surface qui représente en masse bien plus que pour l'analyse chimique.
Ce qui serait intéressant, c'est de savoir si cette beuh a été dépouillée de ses trichomes avant d'être aspergée de billes de verre.
Ensuite l'analyse chimique pour savoir si un cannabinoide exogène a été pulvérisé pour compenser le vol de trichomes.
Un scientifique formé avec juste une loupe peut en quelques secondes effectuer certains constats sanitaires notamment, pas que pour les billes de verre ou autre apport, mais aussi pour certains agents pathogènes connus ou autres chiures toxiques d'acariens cadavérisés.
Dernière modification par Mister No (07 juin 2024 à 22:37)
Hors ligne

Lamiche a écrit
Ça te dirait pas de faire analyser le produit du coup?
Ça nous serait d'une grande aide!:)
Hors ligne

Pour le reste franchement sans analyse je m'avancerais quand même pas
Si tu connais un peu le cannabis pour l'avoir observé à la loupe, aucun doute possible, il y a bien une saloperie qui n'a rien à foutre sur de la weed.
je reste dubitatif sans résultat d'analyse.
La plupart des analyses passent à côté de la présence de billes de verres inertes.
C'est plutôt moi qui met en doute les capacités d'analyse des structures françaises pour le cannabis, fleurs ou extraits.
De toute manière une analyse sérieuse du cannabis ne peut s'affranchir d'un protocole d'observation.
Cet organisme peut proposer des analyses complètes qui ne s'arrêtent pas à la combinaison classique de cannabinoides, les terpènes sont aussi recherchés et quantifiés et une mise en culture permet de mettre en évidence des pathogènes.
Cela peut être un plus en termes de RDR.
https://www.fundacion-canna.es/fr/laboratoire
Ils sont financés par des producteurs d'engrais et de produits phytosanitaires. 
Après, yen anses bien, j'ai rencontré Guzman et Garcia, dans un autre contexte que l'analyse qualitative et quantitative.
Dernière modification par Mister No (17 juin 2024 à 19:38)
Hors ligne

Mister No a écrit
C'est plutôt moi qui met en doute les capacités d'analyse des structures françaises pour le cannabis, fleurs ou extraits.
ouais clairement, après justement le labo "Les Wadz" a probablement trouvé un moyen de faire analyser ça, si j'étais l'op et que je m'avancais avec autant d'ardeur, je sauterais sur l'occasion pour faire taire tous les rageux (moi
) et prouver en définitive que le cannabis aux billes de verre existe bien. Franchement même moi j'aimerais bien avoir une preuve sous les yeux.
mais toi No, ce truc du grinder ça te paraît pertinent?
j'ai pas mon grinder sous la main mais le dernier en date que j'ai acheté, en 1 mois il était rayé
je suppose que c'est du pollen qui se colle sur les paroies, puis ça peut être vachement solide et ça frotte. En tout cas, on devrait bien retrouver des billes dans son grinder aussi, non? Enfin je sais pas mais même ce truc du grinder j'suis archi pas convaincu 
autant sur l'aspect oui je suis d'accord de jamais avoir vu de trichomes comme ça. Mais on est en 2024, et plus que jamais, une photo ne fait pas foi.
Hors ligne

Hors ligne

Mister No a écrit
C'est plutôt moi qui met en doute les capacités d'analyse des structures françaises pour le cannabis, fleurs ou extraits.
L'équipe a fait un travail considérable sur la mise en place de ces analyses, superbe outil de RDR qui manquait cruellement. Nous sommes bien sûr en relation avec les différents laboratoires et le laboratoire concerné apprend lui aussi à perfectionner son travail et le résultats de ses analyses.
Le profil terpénique des fleurs manque à ces analyses et je l'ai déjà demandé deux fois, le labo finira par comprendre ses intérêts en nombre d'analyses de cannabis réalisée dans l'année.
La preuve en a été donnée quand les Wads nous a dit qu'il pouvait faire analyser ces étranges ronds. Alors qu'attend Lamiche pour envoyer de ce cannabis à ce laboratoire. Même si c'est long, cela mettra un terme à cette discussion que je trouve un peu tirée par les cheveux sur la fin avec ta critique, Mr No, des labos français et de notre bonne volonté.
Amicalement
Fil
Hors ligne

Dernière modification par Mister No (18 juin 2024 à 18:25)
Hors ligne

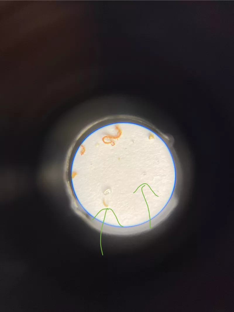
Lamiche a écrit
Je ne suis pas un petit fumeur de 15ans les gars, ce sont des photos au microscope x60 si vous avez déjà vu des trichomes vous devriez tiquer la...
Il s'est inscrit le 2 juin, a posté dix fois ce jour là dans ce thread et n'est pas revenu depuis .... Cela me laisse perplexe quant au sérieux avec lequel prendre ces photos et sont attitude. À partir du moment où nous lui avons proposé l'analyse, pfuit........... plus de Lamiche.
Fil
Hors ligne

Hors ligne

Dernière modification par marvin rouge (25 juin 2024 à 05:51)
Hors ligne

Dernière modification par Mister No (25 juin 2024 à 21:43)
Hors ligne

filousky a écrit
Merci d'avoir relativisé tes propos Mister No. La réalité des faits est que Lamiche, nouvel inscrit n'a plus posté depuis le 2 juin et n'a pas répondu aux différentes suggestion de faire analyser sa fameuse weed par le labo que nous avons trouvé et qui aurait accepté de mener l'analyse jusqu'au bout.
Une hypothèse me vient en tête et je la lâche ici : il se pourrait aussi que son premier post n'ai comme but de semer une sorte de zizanie sur le sujet entre les intervenants.
La gars donne l'impression de bien connaître le sujet et un autre post donne le tonLamiche a écrit
Je ne suis pas un petit fumeur de 15ans les gars, ce sont des photos au microscope x60 si vous avez déjà vu des trichomes vous devriez tiquer la...
Il s'est inscrit le 2 juin, a posté dix fois ce jour là dans ce thread et n'est pas revenu depuis .... Cela me laisse perplexe quant au sérieux avec lequel prendre ces photos et sont attitude. À partir du moment où nous lui avons proposé l'analyse, pfuit........... plus de Lamiche.
Fil
Désolé, je ne connais pas particulièrement le forum, j'ai le seul téléphone du marché avec un microscope(findx3 pro) d'où les photos que je peut prendre facilement et quand j'ai vu qu'il n'y avait rien sur le sujet j'ai décidé de poster, entre temps je ne suis pas Crésus et je suis fumeur, jai fais un échange dessuite pour ne pas fumer ça... Ensuite je n'ai pas compris? Vous voulez que j'envoie de l'herbe par la poste? En donnant mon identité et tout le toutim pour une analyse? Comprenez que c'est flippant
Hors ligne

Lamiche a écrit
Désolé, je ne connais pas particulièrement le forum, j'ai le seul téléphone du marché avec un microscope(findx3 pro) d'où les photos que je peut prendre facilement et quand j'ai vu qu'il n'y avait rien sur le sujet j'ai décidé de poster, entre temps je ne suis pas Crésus et je suis fumeur, jai fais un échange dessuite pour ne pas fumer ça... Ensuite je n'ai pas compris? Vous voulez que j'envoie de l'herbe par la poste? En donnant mon identité et tout le toutim pour une analyse? Comprenez que c'est flippant
Hello!
Pour l'analyse de drogues, voir ce lien : https://www.psychoactif.org/blogs/L-ana … tml#c44879
Bonne soirée!
Hors ligne

Hors ligne
Fouj a écrit
Personne ne remarque que les photos du grinder montre son extérieur ?
Salut,
Oui j'ai fait cette remarque...
Puis sans analyse à l'appui difficile de prouver...
Hors ligne

Fouj a écrit
Personne ne remarque que les photos du grinder montre son extérieur ?
Des grinders, je dois en avoir un vingtaine au fil des ans (poches, sacs, tiroir à chaussettes, etc...). Et bien tous les métalliques sont rayés, tachés et même après passage au bain alcoolisé et rincés à l'eau, aucun doute, au bout d'un an ils sont rayés.
Agartha a écrit
Le truc du grinder, ça m'est arrivé plein de fois qu'il se raye, certains super rapidement (genre les grinder éclatés que t'achètes en tabac).
Je précise que je ne consomme que de la weed ou du shit que je produis et n'ai pas trouvé où trouver ces billes de verre, histoire d'en mettre dedans pour mieux comprendre.
Après cette phrase légèrement ironique (je pense à feu Psychocrack) je pense que Mister No a raison, ce n'est peut-être pas une légende urbaine mais des cas très rares ont été observés.
Franchement, quel idiot mettrait des coupes qui risquent de provoquer des lésions pulmonaires graves avant de vendre son matos ?
SI la raison nous dit : légende urbaine, mais que plusieurs personnes ayant un peu d'expérience en cannabis nous disent qu'ils ont vu un cas, ma réaction a été de virer ma réponse toute faite qui est : "légende urbaine".
Amicalement
Fil
Hors ligne


Hors ligne